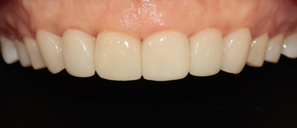
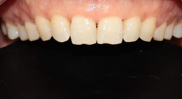
전후사진

Ohoo London
Dental Clinic

섬세한 기술과 따뜻한 마음으로, 오래도록 건강한 미소를 약속드립니다.

울산 남구 문수로 482 대공원 코아루 파크베르 2층

대표자 최현민

대표전화 052-912-2828

사업자등록번호 121-70-14686

  • SNS
  • 카카오
  • 인스타그램
  • 블로그